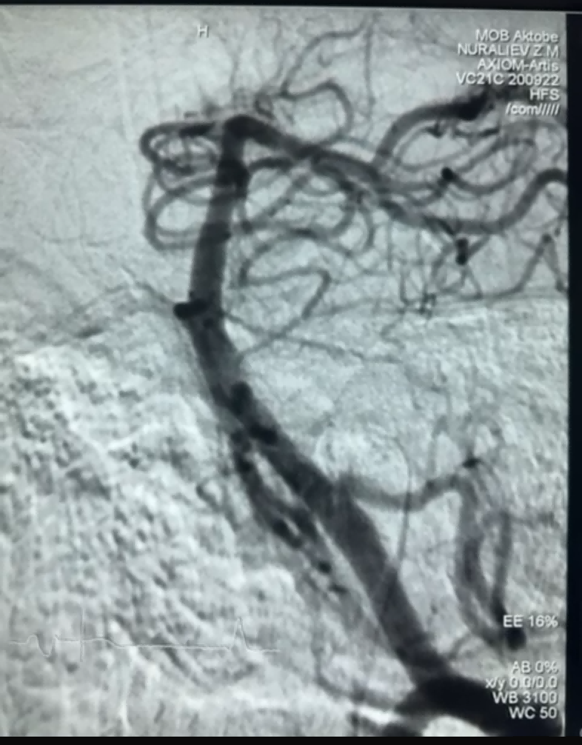
Yn ddiweddar, bu achos thrombectomi llwyddiannus gan ddefnyddio'r Dredger Stent Retriever o NeuroSafe Medical Co, Ltd Mae gan y Dredger Stent Retriever domen meddal an-ymledol, sy'n lleihau'r risg o ddifrod mewnlifol yn fawr, ac mae ganddo dwll siâp arbennig unigryw dyluniad sy'n dal clotiau gwaed yn bennaf trwy glampio'r newidiadau bwlch.





